Top.Mail.Ru
Киров
Пункт самовывоза: Киров, ул. Дзержинского 81/3
Зелёный свет
вашей клинике

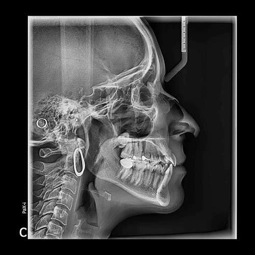
Vatech Pax-i - ортопантомограф

Vatech Pax-i - ортопантомограф
Vatech Pax-i - ортопантомограф
Pax-i- простое и доступное решение для традиционной рентгенодиагностики в стоматологии, разработанное компанией VATECH с применением инновационных технологических ноу-хау, с заботой о здоровье человечества.

Данная продукция соответствует постановлению № 560Н от 9 июня 2020г. и имеет номенклатурный номер 191240.
Производитель
Страна
Южная Корея;
Фокальное пятно, мм
0.5;
Мощность излучателя, кВ
50-99;
Все характеристики
Способы оплаты
Доставка
Описание

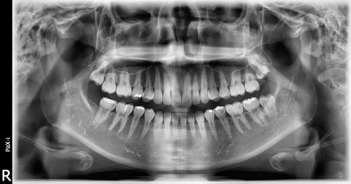
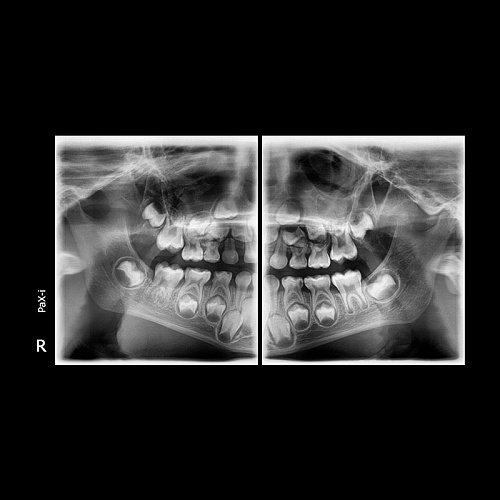
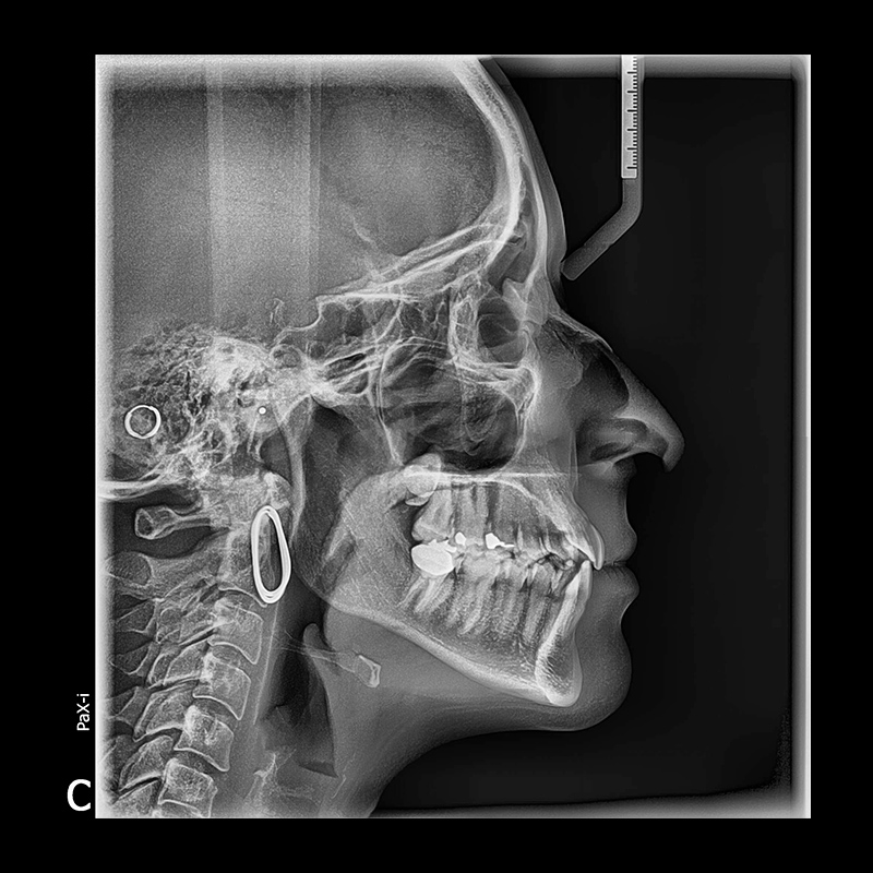
Pax-i - полностью цифровая рентгено-диагностическая система визуализации от VATECH, предназначенная специально для повышения безопасности и защиты окружающей среды от пагубного ионизирующего излучения на человека

Vatech Pax-i - ортопантомограф.jpg

Оптимальное качество визуализации для дентальной диагностики

Pax-i производит наиболее точное и высокое панорамное изображение благодаря техническим разработкам и огромному опыту производства и применения рентгеновских аппаратов компании VATECH.

Vatech Pax-i - ортопантомограф_2.jpg
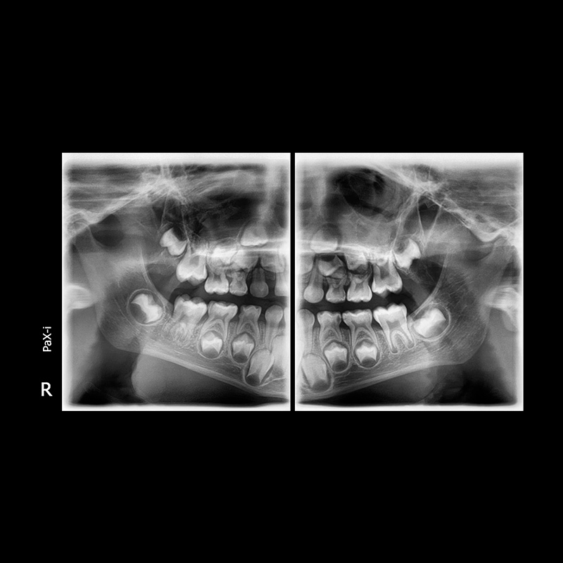
  • Множество режимов съемки для удовлетворения всех диагностических требований
  • Возможность указать форму зубной дуги и плотность костных тканей для лучшей адаптации дозы
  • Режим быстрого сканирования, программы сегментирования и детский режим предназначены для снижения лучевой нагрузки и одновременной экономии времени

Интуитивно понятный пользовательский интерфейс и различные режимы съемки

Характеристики
Производитель
Страна
Южная Корея;
Фокальное пятно, мм
0.5;
Мощность излучателя, кВ
50-99;
Анодный ток, мА
4-10;
Позиционирование лицом к врачу
Да;
Панорама, время сканирования
10.1;
Ширина, мм
1060;
Глубина, мм
1200;
Высота, мм
2300;
Вес, кг
120;
Отзывы
Pax-i- простое и доступное решение для традиционной рентгенодиагностики в стоматологии, разработанное компанией VATECH с применением инновационных технологических ноу-хау, с заботой о здоровье человечества.

Данная продукция соответствует постановлению № 560Н от 9 июня 2020г. и имеет номенклатурный номер 191240.


Нужна консультация?
Подробно расскажем о продукции и услугах, подберем оптимальный вариант и предложим лучшие цены!
В связи с резкими колебаниями курсов валют окончательные цены на интересующие позиции просим уточнять у менеджеров компании. x