ПРИШЛО ВРЕМЯ УМНЫХ ПАНОРАМНЫХ РЕНТГЕНОВСКИХ СНИМКОВ
X-Mind Prime 2D — последнее дополнение в линейке продуктов компании ACTEON для создания панорамных изображений. Он сочетает в себе передовые технологии с простотой использования в компактном корпусе. С X-Mind prime 2D высокие технологии всегда у вас под рукой.X-Mind Prime 2D — это лёгкая и компактная система, которая подходит практически для любого стоматологического кабинета. Благодаря продуманной настенной конструкции устройство не занимает много места на полу. Поскольку устройство доставляется в офис в предварительно собранном виде, его может установить один технический специалист менее чем за час, оно находится в рабочем состоянии и не мешает работе офиса.
2D-ДИАГНОСТИКА БОЛЕЕ ДОСТУПНА, ЧЕМ КОГДА-ЛИБО
X-Mind prime 2D теперь доступен в совершенно новой версии с цефалометрическим кронштейном, что расширяет области применения устройства до ортодонтии.
X-MIND PRIME предназначен для использования в любой сфере благодаря своему минималистичному и компактному дизайну, который в сочетании с непревзойденная простота в эксплуатации обеспечивает оператору и пациенту наилучшие впечатления от обследования.
ПРЕИМУЩЕСТВА ПРОДУКТА
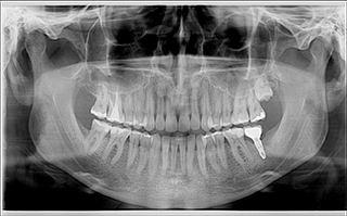
ПОЛОЖИТЕСЬ НА ПОЛНЫЙ НАБОР ПАНОРАМНЫХ ОБСЛЕДОВАНИЙ
X-Mind® Prime предлагает полный набор панорамных исследований, адаптированных для всех ваших стоматологических клинических применений. Он обеспечивает все панорамные исследования, необходимые для общей стоматологии: панорамный снимок зубов, височно-нижнечелюстных суставов, придаточных пазух.
Панорамный
- Стандарт
- Полупанорамный (правый/левый)
- Фронтальный зубной ряд
- Малая доза
- Орто Рад
- Одинарный (правый/левый)
- двусторонний
- Синус
- Стандарт
- Один этап

Программное обеспечение ACTEON ® Imaging предлагает интуитивно понятную навигацию и расширенные функциональные возможности. Оно само по себе позволяет управлять всеми вашими изображениями, от сканирования до просмотра изображений со всех устройств обработки изображений ACTEON ® (КЛКТ, панорамный снимок, внутриротовая цифровая рентгеновская система, внутриротовая камера и т. д.) и многое другое:
- Фильтр оптимизации деталей панорамного изображения
- Индивидуальный отчёт пациента
- Превосходный дизайн
- Чистые линии
- Дружественный интерфейс
- Открытая архитектура
- Простая интеграция с устройствами ACTEON® 2D и 3D Imaging
- Интегрируется с различным программным обеспечением для управления пациентами

Для максимальной производительности X-Mind ® prime специально разработан для сокращения времени подготовки пациента.
Естественное позиционирование лицом к лицу, поддерживаемое выравнивающими лазерами для правильного позиционирования пациента.
Независимо от того, сидите вы или стоите на любой высоте, телескопические колонны можно регулировать напрямую с помощью панели управления. Конфигурация X-Mind ® Prime с открытым пространством подходит для всех типов пациентов и легко доступна для пользователей в инвалидных креслах благодаря своей нулевой площади.
ОСНОВНЫЕ ХАРАКТЕРИСТИКИ
ПРОСТАЯ ПАНЕЛЬ УПРАВЛЕНИЯИнтуитивно понятная панель управления, удобно расположенная под опорой для подбородка, обеспечивает упрощённое и точное позиционирование пациента. Простые настройки и быстрое обследование делают рабочий процесс пациента в любой стоматологической клинике более продуктивным. Безошибочное позиционирование пациента с автоматическим распознаванием опоры для подбородка.
ОПТИМИЗИРУЙТЕ ПРОСТРАНСТВО В ВАШЕЙ ПРАКТИКЕ
Компактность — это главное. X-Mind ® prime — это компактное устройство: благодаря умной настенной системе оно никогда не будет мешать вам. Исключительно малый вес (всего 62 кг) и уменьшенный размер делают X-Mind ® prime пригодным для использования в любой стоматологической клинике. Он подойдёт для самого узкого помещения. X-Mind ® Prime не занимает много места и не уменьшает драгоценное рабочее пространство в вашей стоматологической практике.
НЕПРЕВЗОЙДЁННАЯ СКОРОСТЬ УСТАНОВКИ
X-Mind® prime готов к установке! Поставляется полностью собранным в вашу стоматологическую клинику, и вы всё настроите всего за один час. Это не прерывает повседневную работу и работу офиса, помогая вам сэкономить время.